Smile Gallery
A smile is more than just a dental procedure; it’s a boost in confidence you carry every day. Below, you’ll find a gallery of real transformations from our Rutland neighbors. From subtle enhancements to full-mouth rehabilitations, our team utilizes the finest materials and precision technology to craft smiles that look, feel, and function naturally. Your dream smile starts with seeing what’s possible.
This patient visited our Rutland dental office looking to correct misalignment. Using Invisalign® clear aligners, we were able to gently shift her teeth into a more symmetrical, wider arch. The result is a beautifully aligned smile that looks completely natural and functions perfectly.
This patient presented with a missing front tooth requiring a permanent, durable solution. We placed a custom dental implant topped with a high-quality porcelain crown. Notice the precise color matching and the way the crown mimics the light-reflecting properties of natural enamel. The result is a secure, functional restoration that restores the "anchor" of the patient's smile.
This patient sought a solution for a missing tooth and uneven tooth coloring. We utilized a custom dental bridge to fill the gap and placed matching porcelain veneers on the surrounding teeth. This dual approach allowed us to correct the structural issue while simultaneously creating a uniform, brilliant shade across the entire smile. The final result is a seamless, functional, and highly aesthetic transformation.
This patient presented with significant spacing (diastema), uneven tooth lengths, and a prominent gum line. Our comprehensive smile restoration involved reshaping the gum tissue to reveal more of the natural tooth structure and utilizing custom-crafted restorations to close gaps and create a uniform, symmetrical arch. The result is a balanced, healthy smile that perfectly complements the patient's facial features.
This patient wanted a brighter, more youthful smile for an upcoming event. Using Zoom! In-Office Teeth Whitening, we were able to lift years of surface stains in a single visit. As shown by the clinical shade guide, their smile moved several shades lighter, resulting in a brilliant, radiant finish that looks completely natural.
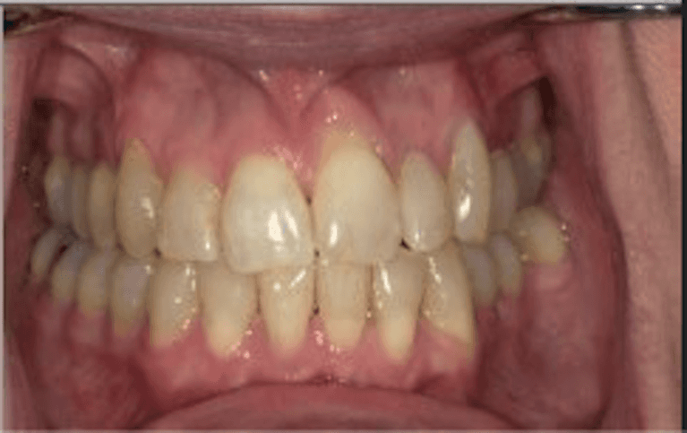
This patient came to Carewell Dental looking to address significant crowding and overlapping that had long affected her confidence. By utilizing a customized clear aligner treatment plan, we were able to gently guide her teeth into their ideal positions without the need for traditional metal braces. The result is a beautifully balanced, wider smile that not only improves her dental health but also perfectly complements her natural features. It’s a testament to how modern technology can deliver life-changing results right here in Rutland.
This patient visited us at Carewell Dental to refine her smile and address minor crowding that impacted the overall symmetry of her teeth. Through a personalized clear aligner treatment, we were able to widen her smile arch and perfectly align her teeth, creating a seamless and radiant look. As you can see in her "after" photo, the result is a more vibrant, confident smile that truly lights up her entire face.
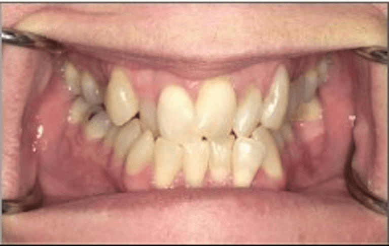
This patient wanted to address uneven wear and minor crowding that made their smile appear aged and asymmetrical. Using a customized Invisalign treatment, we were able to realign their teeth into a more functional position while leveling the biting edges for a smoother, more uniform appearance. The result is a refreshed, youthful smile that is perfectly balanced and highlights their natural beauty. It’s amazing what a few precise adjustments can do for a patient's overall confidence!